- Home
- Latest News
- news line
- Districts
- Kerala
- India
- World
- Sports
- Videos+
- Arogyathejas
- Around The Globe
- Bomb Squad
- Charithrapadham
- Cinimayude Varthamanam
- Cut 'n' Right
- Editors Voice
- Hridaya Thejas
- In Focus
- In Quest
- India Scan
- Kalikkalam
- Marupaksham
- NEWS LINE
- Nireekshanam
- Pusthakavicharam
- RAMADAN VICHARAM
- Samantharam
- Shani Dasha
- Swathwa Vicharam
- Vazhivelicham
- VideoNews
- World in Words
- Yathra
- voice over
- Sub Lead
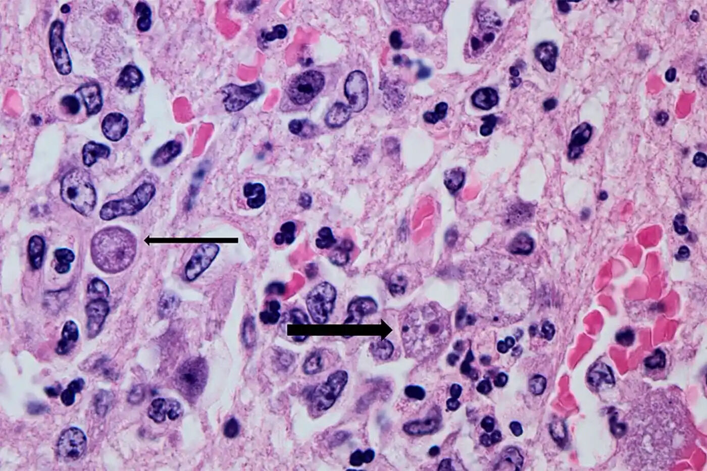
അമീബിക് മസ്തിഷ്കജ്വരം ബാധിച്ച് മരിച്ച ഒമ്പത് വയസ്സുകാരിയുടെ സഹോദരനും രോഗം
BY SVD21 Aug 2025 9:57 AM GMT

X
SVD21 Aug 2025 9:57 AM GMT
കോഴിക്കോട്: വീണ്ടും അമീബിക് മസ്തിഷ്ക ജ്വരം സ്ഥിരീകരിച്ചു. അമീബിക് മസ്തിഷ്ക ജ്വരം ബാധിച്ച് മരിച്ച താമരശേരി സ്വദേശിയായ ഒമ്പത് വയസുകാരി അനയയുടെ സഹോദരന്, ഏഴു വയസ്സുകാരനാണ് രോഗബാധ. ഇന്നത്തെ പരിശോധനാഫലം പോസറ്റീവാകുകയായിരുന്നു. മരിച്ച അനയയും സഹോദരങ്ങളും മൂന്നാഴ്ച മുന്പ് വീടിന് സമീപത്തെ കുളത്തില് നീന്തല് പരിശീലിച്ചിരുന്നു. താമരശേരി ആനപ്പാറയില് സനൂപിന്റെ മകളാണ് അനയ.
കഴിഞ്ഞ വ്യാഴാഴ്ചയാണ് അനയ അമീബിക് മസ്തിഷ്കജ്വരം ബാധിച്ച് മരിച്ചത്. ഇന്നലെ മലപ്പുറം ചേളാരി സ്വദേശിയായ 11 വയസുകാരിക്കും രോഗം സ്ഥിരീകരിച്ചിരുന്നു. കുട്ടി ഇപ്പോള് കോഴിക്കോട് മെഡിക്കല് കോളേജില് ചികില്സയിലാണ്.
Next Story
RELATED STORIES
മഹാരാഷ്ട്രയില് ബഹുനില കെട്ടിടം തകര്ന്ന് എട്ടുമരണം; 25 പേരെ...
21 Sep 2020 2:40 AM GMTമലയാറ്റൂരില് പാറമടയില് പൊട്ടിത്തെറി; രണ്ട് അന്തര്സംസ്ഥാന...
21 Sep 2020 2:18 AM GMTകോഴിക്കോട് നാദാപുരത്ത് പുഴയില് കുളിക്കാനിറങ്ങിയ യുവാവ്...
21 Sep 2020 2:00 AM GMTസംസ്ഥാനത്തെ റേഷന്കടകള്ക്ക് ഇന്ന് അവധി
21 Sep 2020 1:36 AM GMTസംസ്ഥാനത്ത് ഇന്നും അതിതീവ്ര മഴ; പത്ത് ജില്ലകളില് ഓറഞ്ച് അലര്ട്ട്,...
21 Sep 2020 1:24 AM GMTരണ്ട് പുതിയ കണ്ടെയ്ന്മെന്റ് സോണുകള്; കോട്ടയം ജില്ലയില് ആകെ 32...
21 Sep 2020 12:50 AM GMT


















